今天将分享全景 X 线牙科计数和诊断完整实现版本,为了方便大家学习理解整个流程,将整个流程步骤进行了整理,并给出详细的步骤结果。感兴趣的朋友赶紧动手试一试吧。
一、DENTEX2023介绍
全景 X 射线广泛用于牙科诊所,以提供口腔的全面视图并帮助制定针对各种牙科疾病的治疗计划。然而,解释这些图像可能是一个耗时的过程,可能会分散临床医生对基本临床活动的注意力。此外,误诊是一个重要问题,因为全科医生可能缺乏放射学方面的专门培训,并且由于工作疲惫可能会发生沟通错误。
近年来,人工智能 (AI) 的进步为自动化牙科放射学分析铺平了道路。然而,由于解剖学的变化和缺乏公开可用的注释数据,开发用于全景 X 射线分析的自动化算法具有挑战性。尽管存在这些挑战,但在牙科放射学分析中使用 AI 的潜在好处不容忽视,因为它可以显着改善治疗结果和患者满意度。因此,越来越需要研究探索和开发有效的牙科放射学 AI 算法。
二、DENTEX2023任务
牙齿计数和准确诊断检测异常牙齿。
三、DENTEX2023数据集
DENTEX 数据集包括从三个不同机构使用标准临床条件但不同设备和成像协议获得的全景牙科 X 射线,从而产生反映不同临床实践的不同图像质量。该数据集包括 12 岁及以上患者的 X 光片,从医院的数据库中随机选择,以确保患者的隐私和机密性。
为了能够有效地使用 FDI 系统,数据集被分层组织为三种类型的数据;
(a) 693 张 X 射线仅标记为象限检测和象限类,
(b) 634 张 X 射线标记为牙齿检测,带有象限和牙齿枚举类,
(c) 1005 张 X 射线完全标记为异常牙齿检测,带有象限、牙齿计数和诊断类别。
诊断类别包括四个具体类别:龋齿、深龋、根尖周病变和阻生牙。额外提供了 1571 张未标记的 X 射线用于预训练。
DENTEX 2023 数据集包含三种类型的数据:(a) 部分注释的象限数据,(b) 部分注释的象限枚举数据,以及 (c) 完全注释的象限枚举诊断数据。前两类数据用于培训和开发目的,而第三类数据用于培训和评估。
DENTEX 提供了三个分层注释的数据集,可促进各种牙齿检测任务:(1) quadrant-only 用于象限检测,(2) quadrant-enumeration 用于牙齿检测,(3) quadrant-enumeration-diagnosis 用于异常牙齿检测。尽管提供象限检测数据集似乎是多余的,但它对于利用 FDI 编号系统至关重要。FDI 系统是一个全球通用的系统,它为嘴巴的每个象限分配一个从 1 到 4 的数字。右上角为 1,左上角为 2,左下角为 3,右下角为 4。然后每个八颗牙齿和每颗臼齿的编号分别为 1 到 8。1 从前面的中间牙齿开始,越往后数字越高。因此,例如,根据 FDI 符号,左下侧的后齿为 48,即第 4 象限,
DENTEX 数据集中的所有注释均由牙科专家团队精心制作。具体来说,每张图像都由一名去年的牙科学生进行标注,并由三位拥有超过 15 年经验的专家牙医中的一位进一步验证和更正标注。因此,DENTEX 中的注释数据具有最高的质量和准确性,这使其成为牙科研究的宝贵资源。

为了符合标准的机器学习实践,由 1005 张全景 X 射线组成的完全注释的第三个数据集被划分为训练、验证和测试子集,分别包含 705、50 和 250 张图像。仅为训练数据提供真实标签,而提供验证数据时没有相关的真实标签,并且测试数据对参与者隐藏。
DENTEX 挑战赛使用了一套综合指标,包括 AP50、AP75、AP 和 AR。这些性能评估指标是根据完全注释的测试数据集计算的,该数据集包含牙科图像分析的象限、枚举和诊断方面的象限枚举诊断数据。这导致总共有 12 个指标用于评估参与团队的绩效。
四、技术路线
牙齿分割计数
1、由于标注数据是coco格式的json文件,首先通过解析json文件,将分割mask,category_id_1和category_id_2生成牙齿分割计数的mask图像,按照象限标签和象限索引生成固定顺序的牙齿标签。
2、将图像缩放到固定大小512x1024,再采用均值为0,方差为1的方式进行归一化处理。然后将数据分成训练集和验证集。
3、搭建VNet2d网络,使用AdamW优化器,学习率是0.001,batchsize是2,epoch是500,损失函数采用多类别的dice和交叉熵。
4、训练结果和验证结果


四种异常牙齿识别
1、由于标注数据是coco格式的json文件,首先通过解析json文件,将异常牙齿mask生成二值化分割mask,再根据category_id_3生成4种类别牙齿异常的roi图像和roimask图像。
2、将图像缩放到固定大小512x1024,再采用均值为0,方差为1的方式进行归一化处理。然后将数据分成训练集和验证集。
3、搭建VNet2d网络,使用AdamW优化器,学习率是0.001,batchsize是2,epoch是500,损失函数采用二值化的dice和交叉熵。
4、训练结果和验证结果


5、将4类roi图像和mask缩放到固定大小256x256,再采用均值为0,方差为1的方式进行归一化处理。然后将数据分成训练集和验证集。
6、搭建ResNet2d网络,使用AdamW优化器,学习率是0.001,batchsize是64,epoch是500,损失函数采用交叉熵。
7、训练结果和验证结果


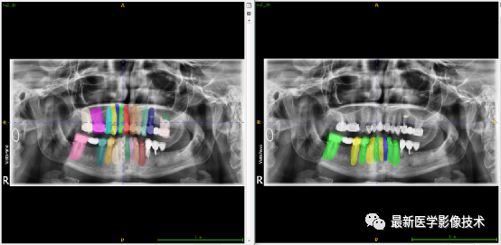
验证集牙齿分割计数和异常牙齿分割识别
左图是分割计数,右图是异常牙齿分割识别结果


















