脑电图于百年前面世。百年来,它对科学家研究人脑的方式产生了深刻影响。
美国鲍登学院神经科学与心理学副教授埃里卡·尼胡斯在澳大利亚新闻网“对话”上撰文指出,自首次使用以来,脑电图塑造了研究人员对包括感知和记忆在内的多种认知功能的理解,对诊断和治疗包括癫痫在内的多种脑部疾病发挥了重要作用。

大脑的镜子
1924年7月6日,德国精神病学家汉斯·伯杰首次记录到人脑的能量活动,这种能量活动后来被命名为脑电波。当时的那张脑电波记录图也成为人类历史上第一张脑电图。
1929年5月,脑电图领域首期出版物《人类脑电图的使用》在《精神病学档案》杂志发表。
伯杰的第一张脑电图是在一次神经外科手术中记录的,患者是一位17岁的男孩。这次记录的脑电图极其粗糙,毫无波形,难以辨认。为此,伯杰等了整整5年,直到技术成熟,波形清晰后,才敢发表第一篇文章。
为了完善脑电图,伯杰在自己儿子头上实验了73次,还在自己头上做了56次脑电图。在伯杰眼里,脑电图就是大脑的镜子,可反映大脑里的活动。
脑电图的横空出世,让人们可以直观地观察到脑细胞的自发性、节律性电活动。这场革命为癫痫、脑部疾病、精神疾病患者的诊断和治疗带来了曙光。
英国生理学家、诺贝尔生理学或医学奖获得者埃德加·道格拉斯·阿德里安评价伯杰的研究为“神经生理学领域至关重要的研究”。阿德里安表示,脑电图是一种全新的诊断方法,它已经成为欧洲和美洲许多研究的起点。

记录神经振荡
当许多神经元同时活跃时,它们会产生足够强的电信号,瞬间通过大脑、头骨和头皮的导电组织传播。放置在头部的脑电图电极可以记录这些电信号。
自脑电图问世以来,研究人员已经证明神经活动会以特定频率振荡。1924年,在第一张脑电图中,伯杰注意到频率为8到12赫兹的神经振荡活动占主导地位,并将其称为阿尔法振荡。自从阿尔法节律“现身”以来,研究人员已经开展了诸多试验,以理解神经元如何振荡以及为什么振荡。
研究人员认为,神经振荡对大脑特定区域之间的有效交流非常重要。例如,频率为4到8赫兹的西塔振荡对于动物和人类大脑中参与记忆编码和检索的区域之间的通信至关重要。他们随后开展了试验,以弄清楚是否可以改变神经振荡,从而影响神经元之间的交流方式。结果显示,许多行为和非侵入性方法可以改变神经振荡,影响认知表现。
脑电图还催生了大脑如何处理信息方面的多项重大发现,揭示了人类如何感知周围世界,如何集中注意力,如何用语言交流,以及如何处理情绪等方面的诸多秘密。
01
脑电图的起源与发展
脑电图,这面大脑的镜子,自百年前面世以来,便成为了神经精神类疾病诊断与治疗的得力助手。它能够清晰地反映大脑内部的电活动,常被用于诊断癫痫、睡眠障碍以及抑郁症等疾病,同时为大脑疾病的治疗提供有力指导。接下来,就让我们一起走进这个与大脑息息相关的神奇机器的世界。

1924年7月6日,德国精神病学家汉斯·伯杰取得了突破性进展,他首次成功记录到了人脑的能量活动,这种能量活动被命名为脑电波。这张珍贵的脑电波记录图,不仅成为了人类历史上第一张脑电图,更开启了人类对大脑电活动探索的新篇章。脑电图的诞生,使得人们能够直接观察到脑细胞的自发性、节律性电活动,为癫痫、脑部疾病以及精神疾病患者的诊断和治疗带来了新的希望。

我国在1948年于南京首次引进了脑电图仪,这一技术发展在60年代末期迎来了新的里程碑,国产脑电图仪的诞生标志着我国在这一领域的自主创新。进入20世纪90年代,随着国内电子计算机技术与成像技术的迅猛发展,脑电图仪器得以迅速更新换代,从而极大地推动了脑电图在临床医学上的普及与应用。

02
脑电图的检查与分类
人类大脑,这个由数十亿神经元和神经胶质细胞构成的复杂器官,每时每刻都在处理着纷繁复杂的信息与任务。当大量神经元同步活动时,会产生强烈的电信号,这些信号会迅速通过大脑、头骨及头皮的导电组织传播开来。此时,借助精密仪器,我们可以记录下大脑自然产生的电流。这些电流信号经过计算机的放大与处理,最终被描绘成易于解读的图形。医生再根据这些电流图形的特征,来分析判断大脑的活动状态,从而完成脑电图的检查。

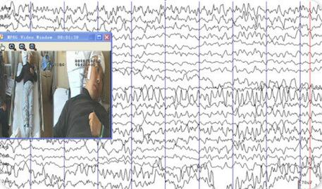
脑电图主要分为头皮脑电图和颅内脑电图两大类。头皮脑电图,作为临床最常使用的类型,又进一步细分为常规脑电图、动态脑电图以及长程视频脑电图。其中,视频脑电图独具特色,它能够同步记录病人发作时的症状与脑电图的变化,从而将视频图像、声音和脑电信号完美结合。这种脑电图类型对于癫痫发作的精确鉴别诊断及分型,具有不可或缺的临床价值。

03
脑电图的适应症与重要性
脑电图在医学领域有着广泛的应用,它对于多种疾病的诊断和评估都至关重要。以下是一些需要做脑电图检查的常见情况:抽搐发作与意识障碍、中枢神经系统感染、发育与行为问题、睡眠问题、儿童异常表现以及早产宝宝脑发育评估等。此外,脑电图还能为评估抗癫痫药的治疗效果、预测停药后复发风险提供重要信息。
脑电图作为一种重要的医学检查手段,在神经系统疾病的诊断和评估中发挥着不可或缺的作用。它能够记录大脑活动时的电波变化,为医生提供关于脑功能状态的详细信息。通过脑电图检查,医生可以更准确地诊断癫痫、脑部感染等神经系统问题,并制定针对性的治疗方案。同时,脑电图检查是一种无创的医学检查方法,与心电图类似,它不仅安全无害,而且无痛苦。
原创声明:本文系作者授权腾讯云开发者社区发表,未经许可,不得转载。
如有侵权,请联系 cloudcommunity@tencent.com 删除。
原创声明:本文系作者授权腾讯云开发者社区发表,未经许可,不得转载。
如有侵权,请联系 cloudcommunity@tencent.com 删除。