
SRT 1720(M1824,AbMole)是一种选择性激活Sirtuin 1(SIRT1)的小分子激动剂。SIRT1即沉默信息调节因子2相关酶1,是Sirtuin蛋白家族中最具代表性的成员。SIRT1具有乙酰化酶活性,可从目标蛋白的赖氨酸残基上移除乙酰基,这一修饰能显著改变靶蛋白(转录因子、组蛋白等)的活性、稳定性、细胞定位或与其他分子的相互作用,进而调节细胞的生命活动。SRT 1720可通过增强SIRT1的去乙酰化酶活性,调控下游靶蛋白功能,从而用于多种细胞生理活动的研究。例如SRT 1720可通过抑制高迁移率族蛋白B1(HMGB1)的乙酰化及其在内皮细胞中的胞质转位,阻断HMGB1与晚期糖基化终末产物受体(RAGE)的相互作用,进而减轻细胞损伤[1]。SRT1720在氧化应激与衰老研究中,通过激活SIRT1有效抑制了单壁碳纳米管(SWCNT)诱导的肺泡巨噬细胞(AMs)衰老及相关纤维化表型。实验表明,SWCNT暴露会引发肺部氧化应激并加速AMs衰老,而SRT 1720干预可显著降低衰老标志物的表达,同时抑制衰老相关分泌表型(SASP)的释放,从而缓解纤维化进程[2]。SRT 1720在CCl4诱导的小鼠肝损伤模型中,每周三次腹腔注射(50 mg/kg)可使肝组织羟脯氨酸含量降低35%,α-SMA阳性肌成纤维细胞数量显著减少[3]。SRT 1720在肿瘤研究模型中,被用于胰腺癌肿瘤细胞的药敏筛选[4]。还有研究发现SRT1720可通过激活AMPK相关通路,抑制非小细胞肺癌等肿瘤细胞的侵袭性表型[5]。AbMole为全球科研客户提供高纯度、高生物活性的抑制剂、细胞因子、人源单抗、天然产物、荧光染料、多肽、化合物库、抗生素等科研试剂,全球大量文献专利引用。
范例详解
Br J Dermatol. 2025 Feb 18;192(3):481-491.
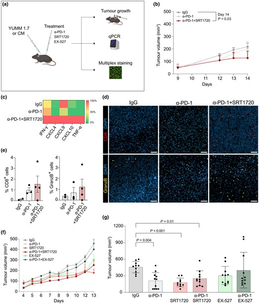
德国埃森大学的科研团队在该文章中通过空间蛋白质组学技术,证实了SIRT1(沉默信息调节因子 1)是人类黑色素瘤中 T 细胞浸润的关键决定因素,并且激活SIRT1可增强 PD-1 抑制剂的抗肿瘤效果。实验人员使用显微镜技术、质谱成像、液相色谱-质谱联用及数据分析,对比黑色素瘤中 T 细胞富集与低浸润区域的蛋白质分布。最终鉴定出145种在CD8高表达肿瘤区域富集的蛋白质,并发现SIRT1是其中最为关键的分子。并且在小鼠实验中,科研人员使用了来自AbMole的SIRT1激活剂SRT1720(M1824,AbMole)用于验证SIRT1的功能,发现SRT 1720可提高抗PD-1处理组小鼠的肿瘤抑制率[6]。2014年,AbMole的两款抑制剂分别被西班牙国家心血管研究中心和美国哥伦比亚大学用于动物体内实验,相关科研成果发表于顶刊 Nature 和 Nature Medicine。

The sirtuin 1 (SIRT1) activator SRT1720 enhances the antitumour effect of α-programmed cell death protein 1 (PD)-1-based immune checkpoint inhibition in vivo[6]
参考文献及鸣谢
[1] X. Zhang, H. Xie, Z. Liu, et al., HMGB 1 acetylation mediates trichloroethylene-induced immune kidney injury by facilitating endothelial cell-podocyte communication, Ecotoxicology and environmental safety 259 (2023) 115042.
[2] X. Zhang, W. Zhao, X. Hu, et al., Activation of Sirt1 protects from single-walled carbon nanotubes-induced pulmonary fibrosis by inhibiting alveolar macrophage senescence, Ecotoxicology and environmental safety 302 (2025) 118629.
[3] C. D. Fuchs, E. D. Dixon, P. Konigshofer, et al., Loss of Bile Salt Export Pump (Bsep/Abcb11) Ameliorates Toxin-induced Hepatic Fibrosis via Suppression of Hepatocellular Jun Amino-terminal Kinase Signaling and Hepatic Stellate Cell Activation, Cellular and molecular gastroenterology and hepatology 20(1) (2025) 101630.
[4] L. Song, S. Qi, W. Hu, et al., Integrative analysis reveals clinically relevant molecular fingerprints in pancreatic cancer, Molecular therapy. Nucleic acids 26 (2021) 11-21.
[5] C. Datta, P. Das, S. Dutta, et al., AMPK activation reduces cancer cell aggressiveness via inhibition of monoamine oxidase A (MAO-A) expression/activity, Life sciences 352 (2024) 122857.
[6] J. M. Placke, J. Bottek, R. Váraljai, et al., Spatial proteomics reveals sirtuin 1 to be a determinant of T-cell infiltration in human melanoma, The British journal of dermatology 192(3) (2025) 481-491.
原创声明:本文系作者授权腾讯云开发者社区发表,未经许可,不得转载。
如有侵权,请联系 cloudcommunity@tencent.com 删除。
原创声明:本文系作者授权腾讯云开发者社区发表,未经许可,不得转载。
如有侵权,请联系 cloudcommunity@tencent.com 删除。