
许多企业在日常运营中都要处理重复、耗时的流程。这些任务往往需要人们反复观察、检查或分析视觉信息。
无论是货架上的产品、查看医疗图像、监控仓库活动,还是确保工作场所的安全,所有这些任务都需要持续的关注。即使是最有经验的团队,也会在事物不断运动的过程中遗漏细节。
随着人工智能(AI)越来越普及,许多企业都在采用计算机视觉技术,这是人工智能的一个子领域,能让机器解读图像和视频。视觉人工智能可以实现视觉任务的自动化,并将日常视觉效果转化为有影响力的洞察力。
医疗保健、零售、物流和机器人等行业已经看到了计算机视觉带来的好处。计算机视觉可帮助团队提高工作效率,减少错误,并更自信地做出决策。

在人工智能所能创造的长期生产力收益方面,它也发挥着重要作用。事实上,人工智能系统每年可在企业使用案例中带来高达 4.4 万亿美元的生产力提升。
在本文中,我们将深入探讨计算机视觉如何推动更智能的决策,以及为什么忽视计算机视觉会导致错失良机。
计算机视觉是人工智能中发展最快的领域之一,它由更智能、能力更强的算法驱动,帮助机器通过图像和视频感知世界。
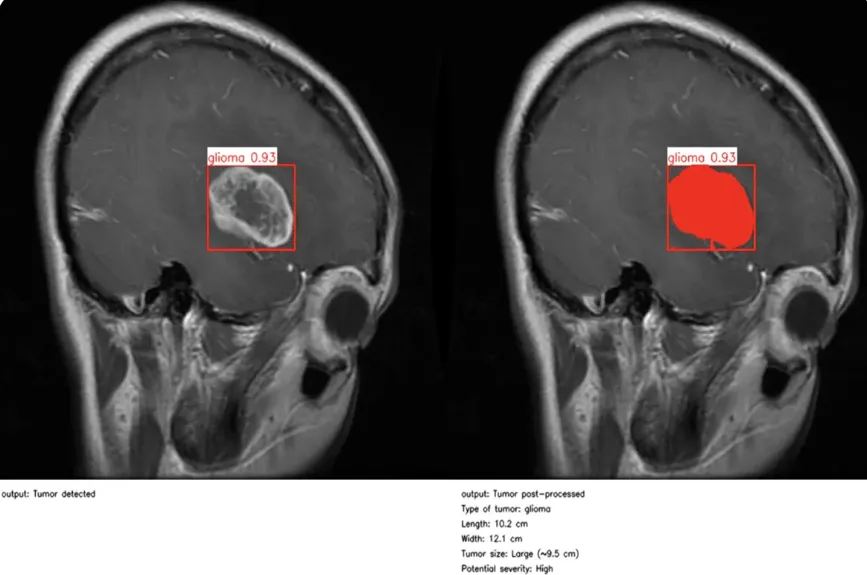
特别是像YOLO11和即将推出的YOLO26等模型支持对象检测、实例分割和图像分类等计算机视觉任务,帮助机器分析视觉信息。
例如,目标检测用于查找和定位图像中的特定对象,实例分割用于识别对象并在像素级别上对其进行勾勒,而图像分类则根据图像所包含的内容分配标签。但这究竟是如何实现的呢?

像YOLO11 和 YOLO26 这样的模型可以在包含企业关注的对象或场景示例的数据集上进行定制训练或微调。这些数据集包括与标签配对的图像,这些标签会告诉模型应该寻找什么。
在训练过程中,这些使用深度神经网络(如卷积神经网络或 CNN)构建的模型会从数据集中学习视觉特征和对象模式,并通过有监督的机器学习技术进行训练。经过充分的模型训练后,模型可以泛化并识别出新的、未见过的图像中的类似模式。
制造业、物流业、医疗保健业和零售业等行业每天都会通过摄像头、传感器和其他设备收集大量可视数据。令人惊讶的是,这些信息中有很多从未被使用过。
如果公司忽视了这些数据,就会错失可以使其运营更加顺畅、预防可避免问题和突出新增长机遇的洞察力。
以下是一些企业因忽视计算机视觉而面临的日常挑战:
在更好地了解了计算机视觉是什么以及它的工作原理后,让我们来探讨它如何为企业创造真正的、可衡量的价值。
下面我们来看看它在不同领域带来的好处:
接下来,让我们来看看不同行业是如何将计算机视觉付诸实施的,以及计算机视觉对其日常运营产生的影响。
如今,零售业务涉及的远不止货架和收银台。在人工智能和视觉数据的帮助下,零售商正在寻找新的方法来简化日常任务、提高准确性并满足顾客不断提高的期望。从跟踪货架上的产品供应情况,到分析人流量和优化店铺布局,计算机视觉被广泛应用于各种活动中。

全球最大的零售商之一沃尔玛就是一个很好的例子。沃尔玛在 1,000 多家门店使用计算机视觉技术监控结账活动,减少损失。
由人工智能驱动的摄像头会分析自助结账机和工作人员收银机上发生的情况,并能detect 扫描仪是否扫描了未通过的物品。发生这种情况时,系统会向店员发出警报,以便他们介入并纠正问题。
这有助于减少因盗窃、扫描错误或简单的人为失误而造成的损耗,每年整个零售行业的损耗总额可达数十亿美元。
同时,在制造业中,要生产出高质量的产品,精度是必不可少的。计算机视觉使制造商能够在不降低生产速度的情况下实现更高的质量和效率标准。通过检测装配线上的缺陷和监控工人的安全,这些系统使质量检查更快、更一致、更可靠。

有趣的是,流行的汽车品牌也在采用计算机视觉技术来实现生产线的现代化。例如,丰田公司使用基于深度学习的视觉系统来实现车辆检测过程的自动化。
该公司曾经依靠人工检查,速度慢且容易出错。如今,配备了 17 个高分辨率摄像头和先进照明设备的系统可以捕捉每辆汽车的详细图像,并实时验证 80 多种规格。这样一来,整个生产线的检查速度更快、准确性更高、成本更低,而且质量始终如一。
同样,随着计算机视觉成为日常临床工作流程的一部分,医疗保健领域也取得了重大进展。在医疗环境中,精确性和时间性至关重要,而计算机视觉研究和人工智能驱动的图像分析正在让临床医生做出更快、更明智的决定。
医疗保健的许多领域都是如此。以眼科为例。在英国莫菲尔德眼科医院,研究人员开发了RETFound,这是医学领域首批人工智能基础模型之一,也是眼科领域的首个人工智能基础模型。
通过自我监督学习,该模型在 160 万张视网膜图像上进行了训练,可以detect 糖尿病视网膜病变和青光眼等威胁视力的疾病,甚至可以根据细微的视网膜线索预测心力衰竭、中风和帕金森病等更广泛的全身性疾病。
要将计算机视觉技术整合到业务运营中,并不一定需要全面改造。简单的第一步就是看看你已经拥有了什么。
大多数企业已经拥有了所需的原始数据。真正的机遇在于认识到这些数据如何能够创造有意义的价值。
从小事做起往往能带来最大的突破。一个简单的项目,比如使用预先训练好的模型来监控库存水平或提高基本的监控洞察力,就能迅速带来可衡量的结果。这些早期胜利可以减少错误、节省时间,并帮助团队对人工智能所能实现的目标建立信心。
计算机视觉人工智能的几个最新趋势正在重新定义企业使用视觉数据的方式。直到最近,大多数人工智能处理都依赖云计算,将图像和视频发送到远程服务器进行分析。
这种方法虽然有效,但带来了延迟,增加了对隐私的担忧,并且依赖于强大的互联网连接。这些限制使得计算机视觉难以用于需要即时响应的情况。
如今,向边缘计算的发展正在加快人工智能的应用势头。YOLO11 和即将推出的 YOLO26 等尖端视觉模型现在可以直接在较小的设备硬件上运行。
这意味着系统可以立即处理视觉信息,即使在没有持续互联网连接的情况下也能运行。其结果是检测速度更快、可靠性更高、对敏感数据的控制能力更强。随着边缘人工智能的不断改进,企业可以在机器人、制造、零售、物流和许多其他环境中,从缓慢的批量处理转向实时智能。
计算机视觉正在改变企业观察其运营和决策的方式。通过更有效地使用视觉数据,企业可以提高工作效率、减少错误并改善日常流程的质量。有了对工作流程的更深入了解,企业就能根据真实的运营数据做出及时、明智的决策。
原创声明:本文系作者授权腾讯云开发者社区发表,未经许可,不得转载。
如有侵权,请联系 cloudcommunity@tencent.com 删除。
原创声明:本文系作者授权腾讯云开发者社区发表,未经许可,不得转载。
如有侵权,请联系 cloudcommunity@tencent.com 删除。